
Vitamin C for Healthy Teeth and Gums
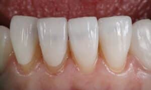
Maintaining healthy teeth and gums is important for overall health. Our oral health is directly influenced by the vitamins and nutrients we consume. Among the

Maintaining healthy teeth and gums is important for overall health. Our oral health is directly influenced by the vitamins and nutrients we consume. Among the

When it comes to enhancing your smile, there are many options to consider. One of the most effective and least invasive procedures is teeth bonding.

A bright smile can make a huge difference in a person’s confidence and overall appearance. For many fathers, keeping that smile looking its best can

Cosmetic teeth bonding is a popular dental procedure that can transform your smile quickly and effectively. At Mid Bay Dental, we understand the importance of

As we age, our dental needs change, and maintaining a bright, healthy smile becomes increasingly important. Cosmetic dentistry offers seniors a range of solutions to

When it comes to enhancing your smile, cosmetic dentistry offers a variety of procedures designed to improve the appearance of your teeth. These procedures can

Thinking about transforming your smile? A confident smile can light up a room and do wonders for your self-esteem. But with so many options out

Did you ever feel like your jaw is in a silent tantrum? That might be TMJ acting up. The joint links your jaw with your

Mother’s Day is a time to shower Mom with love and appreciation. And what better way to do that than with a delicious homemade dessert?
Broaden your understanding of oral health, dental conditions, and the services we offer with our exclusive, A-Z patient education library.